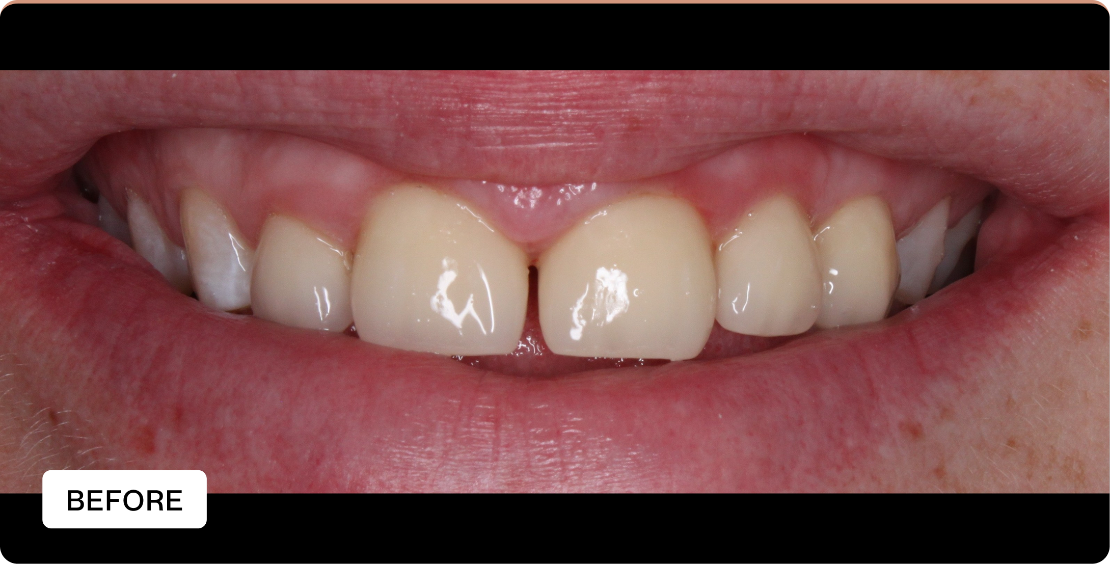
“It is never too late to get the smile you want”

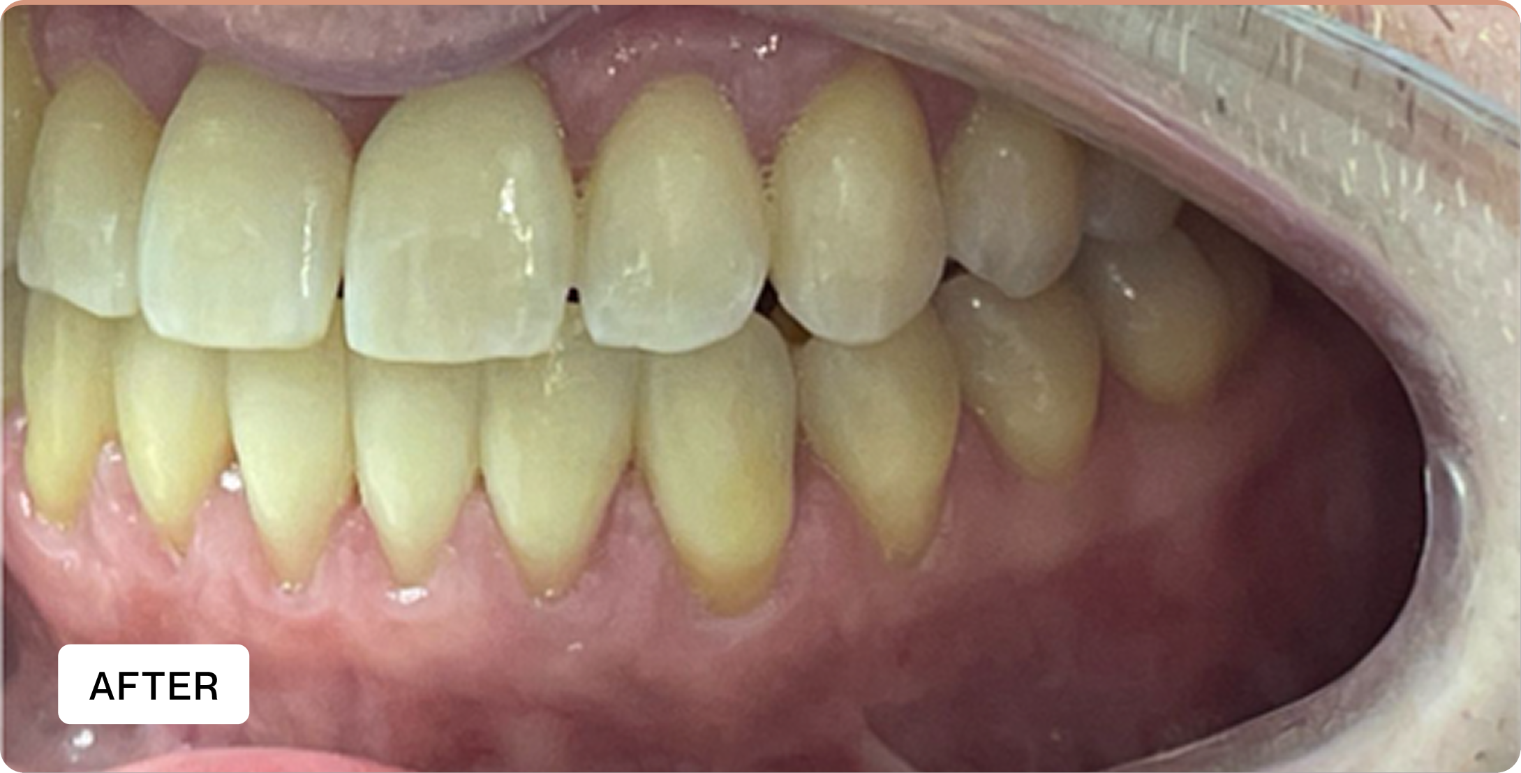
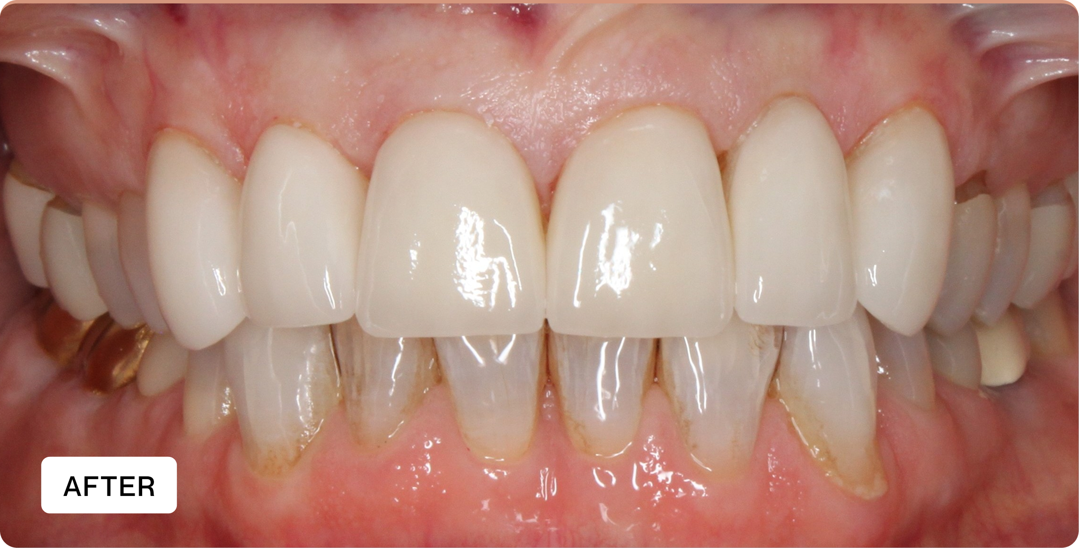
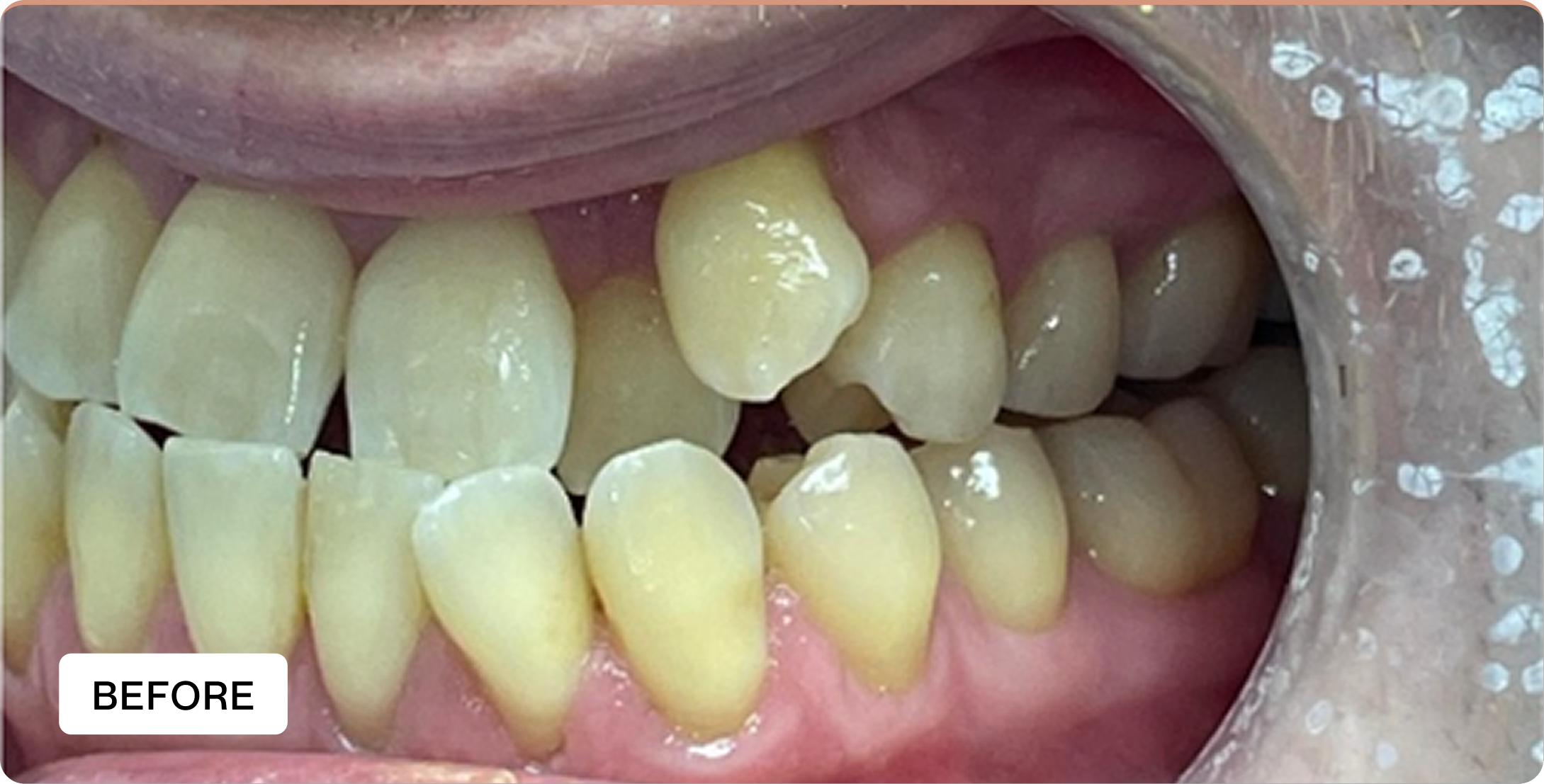
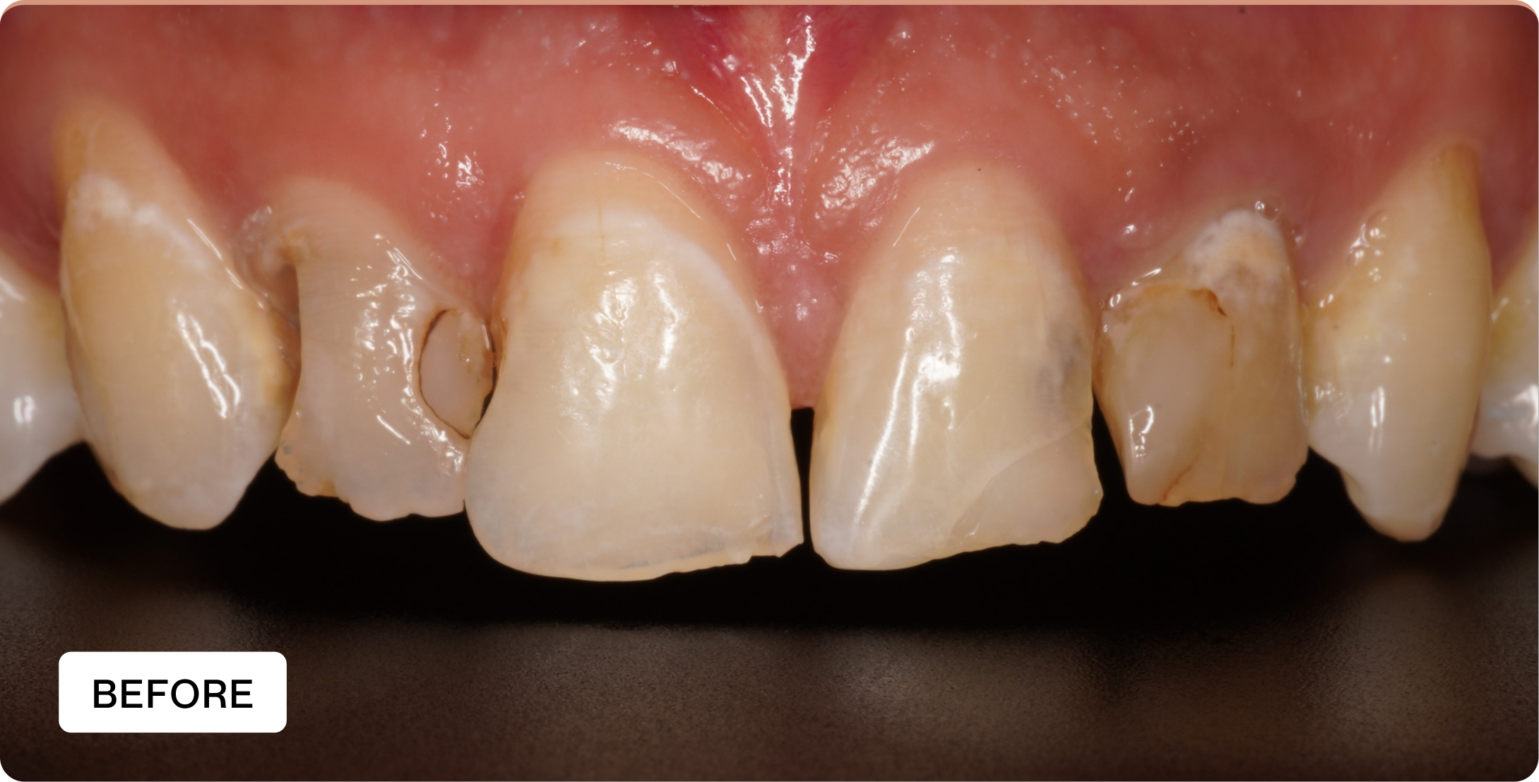
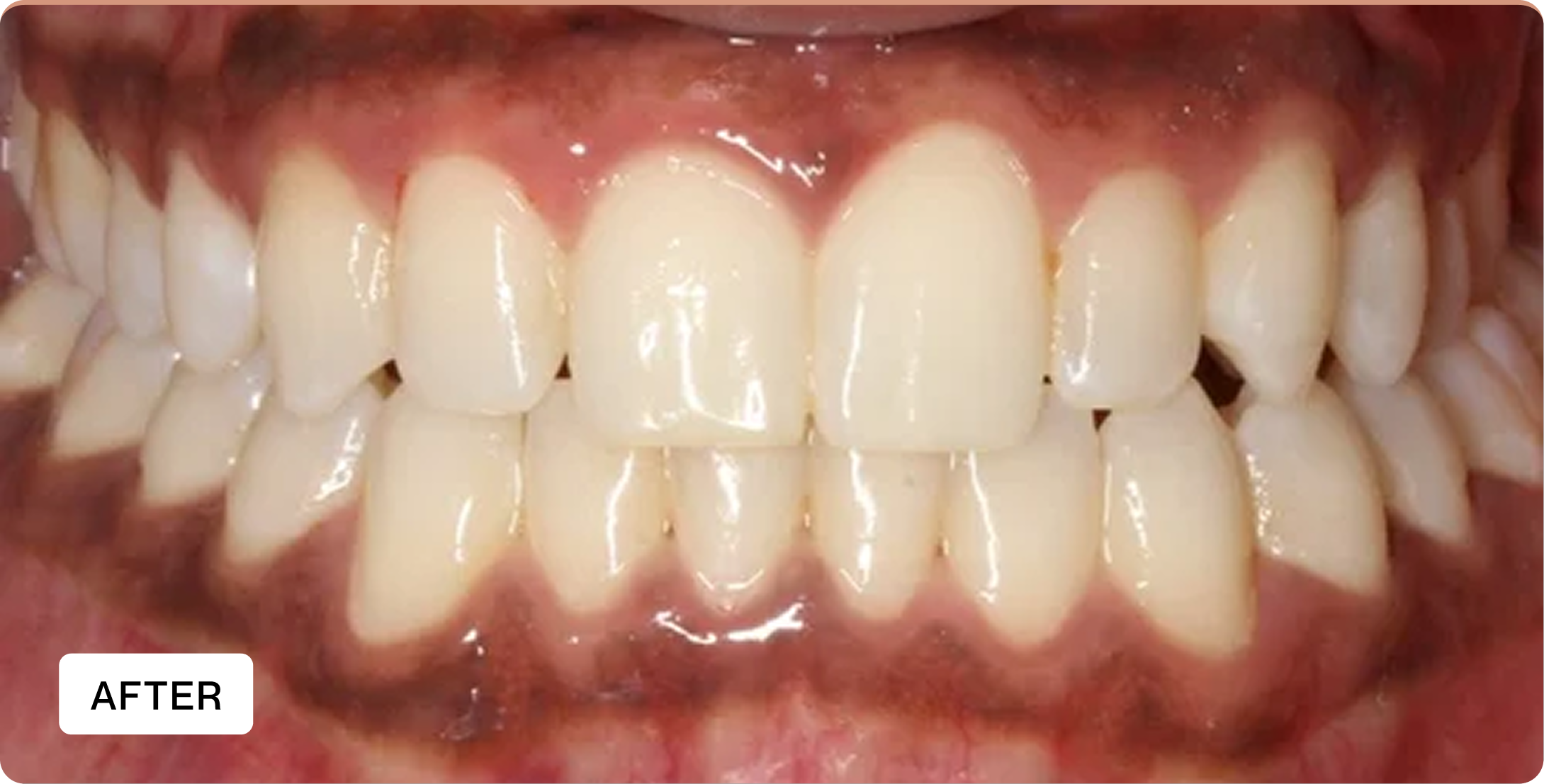
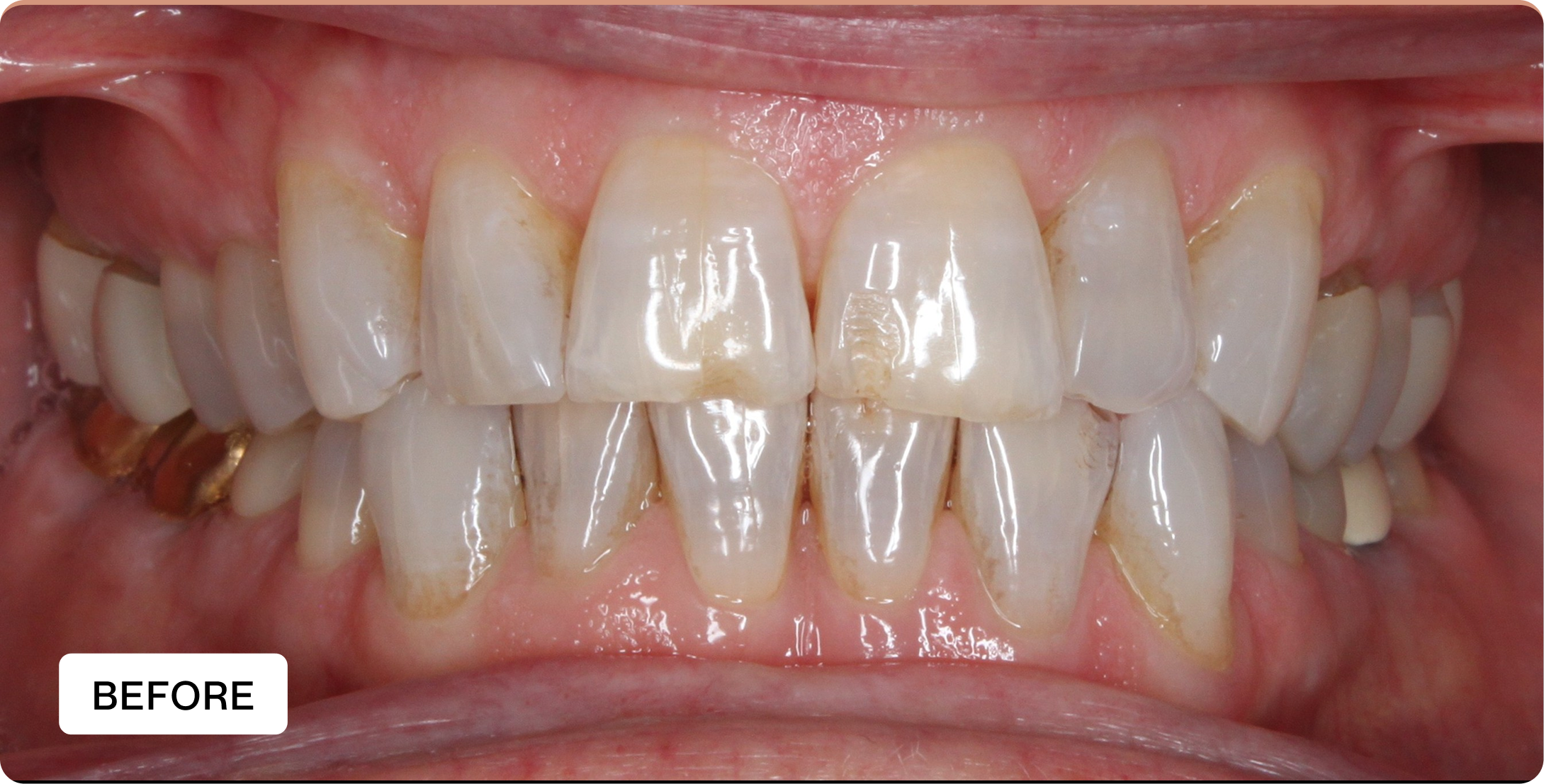
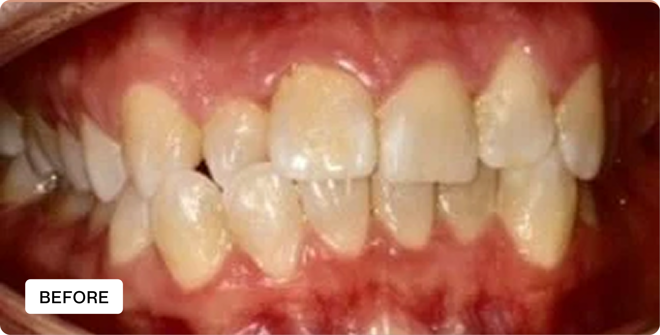
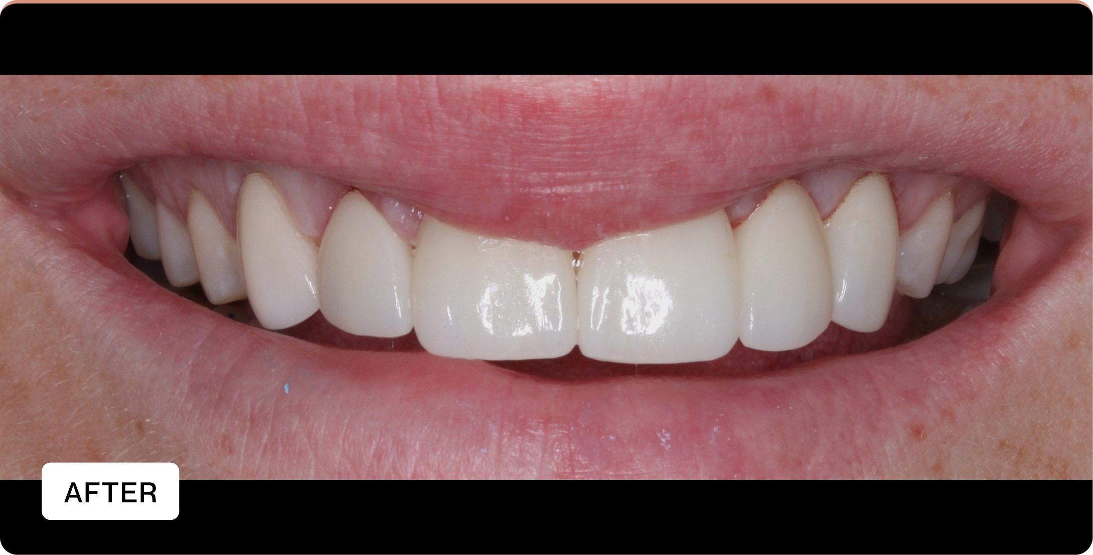
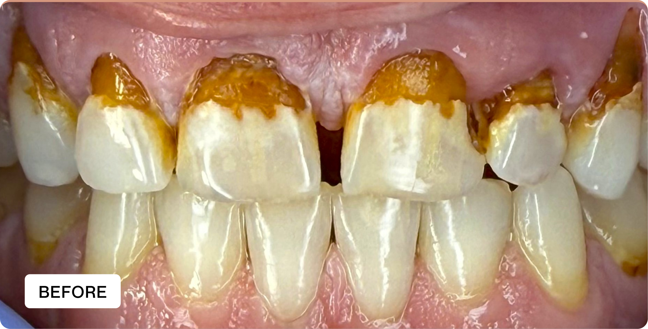
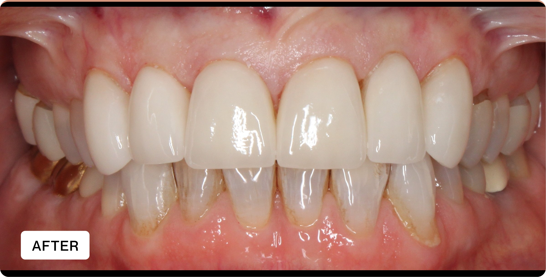
Before & After

Creating natural-looking beauty takes a trained eye and meticulous attention to detail. By partnering with some of the world’s leading dental labs and master ceramists, we’ve been able to craft beautifully transformed smiles that look and feel completely natural. Our goal is simple: results so seamless, they’re undetectable.

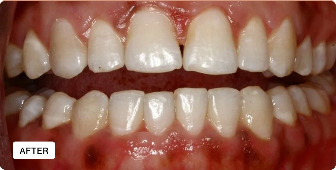
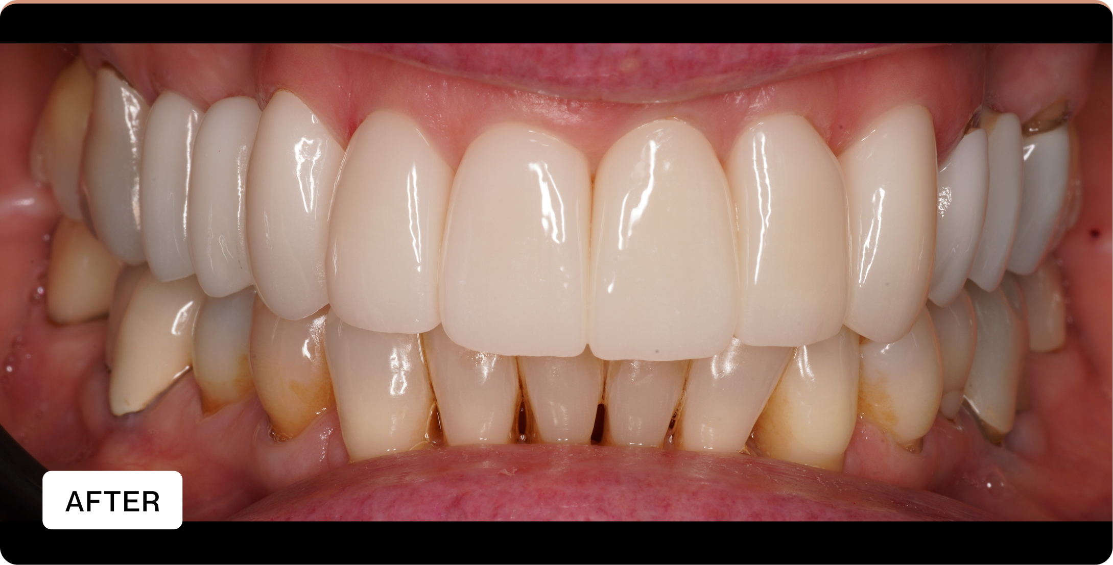
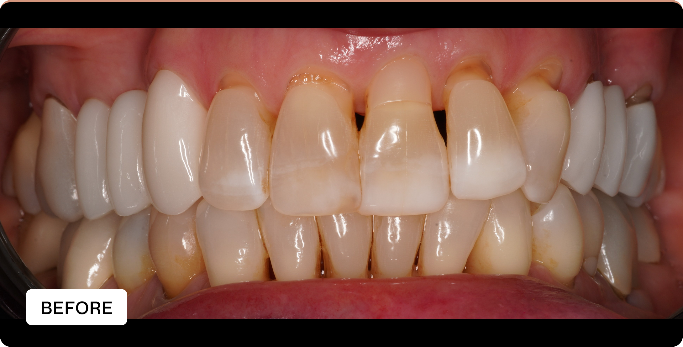
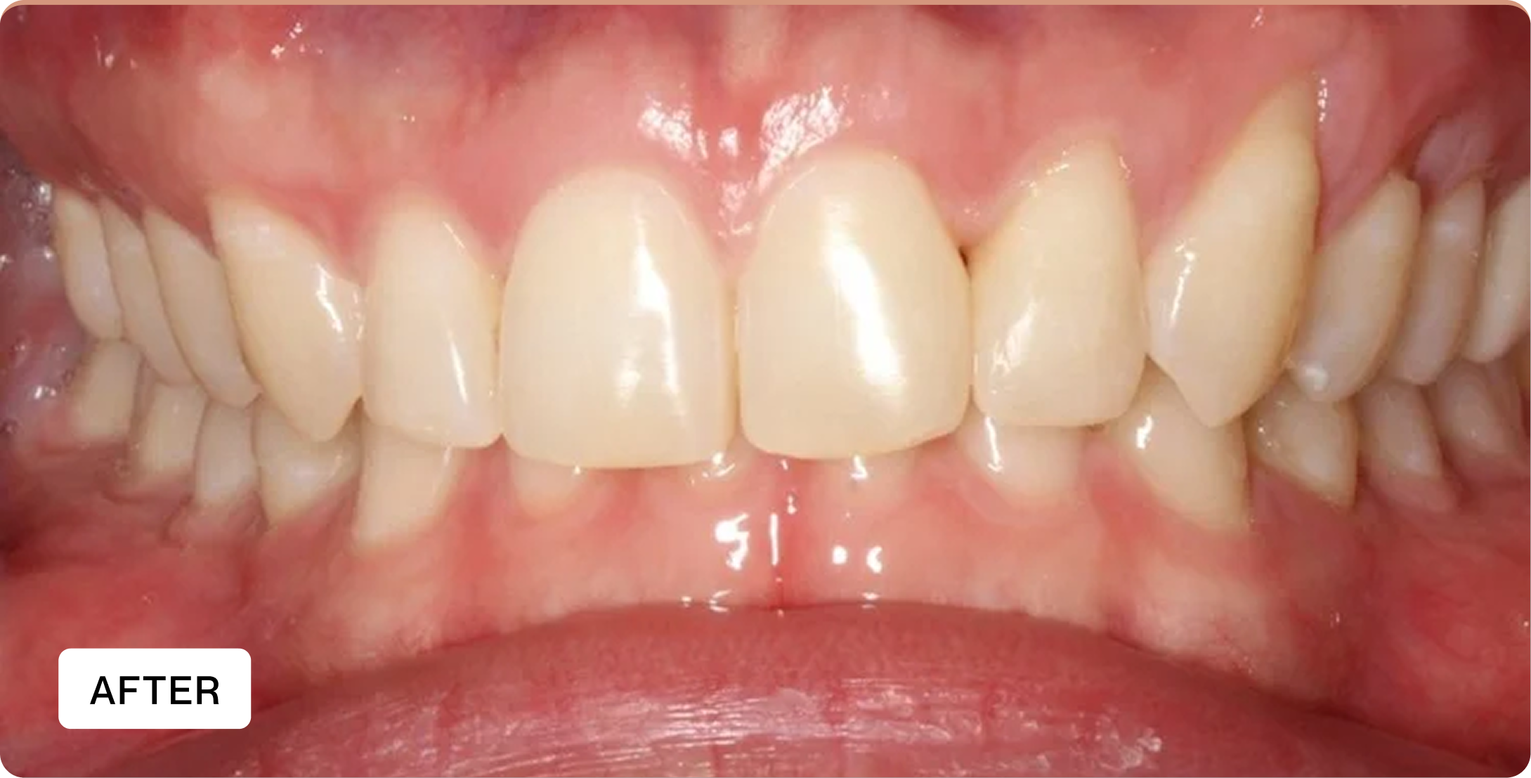
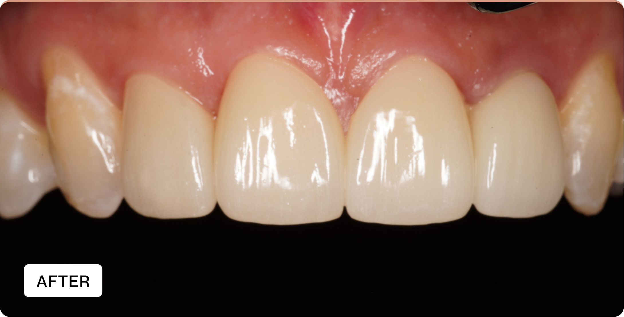
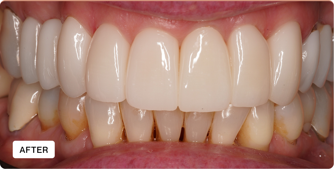
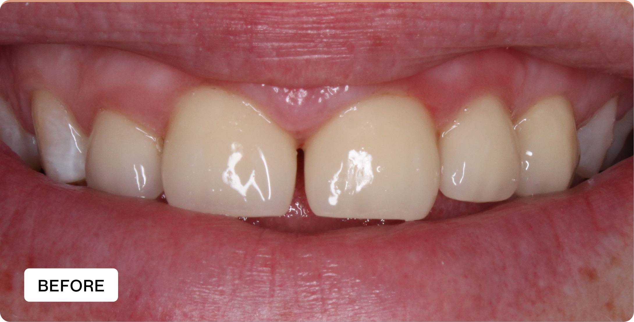
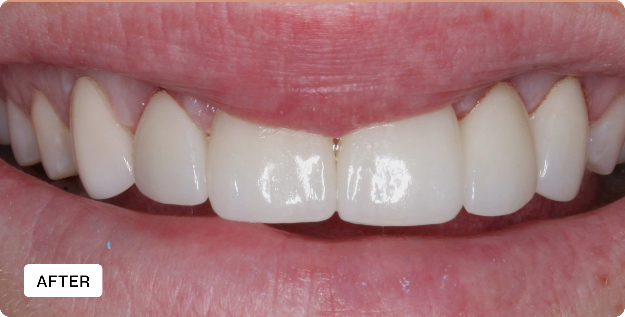
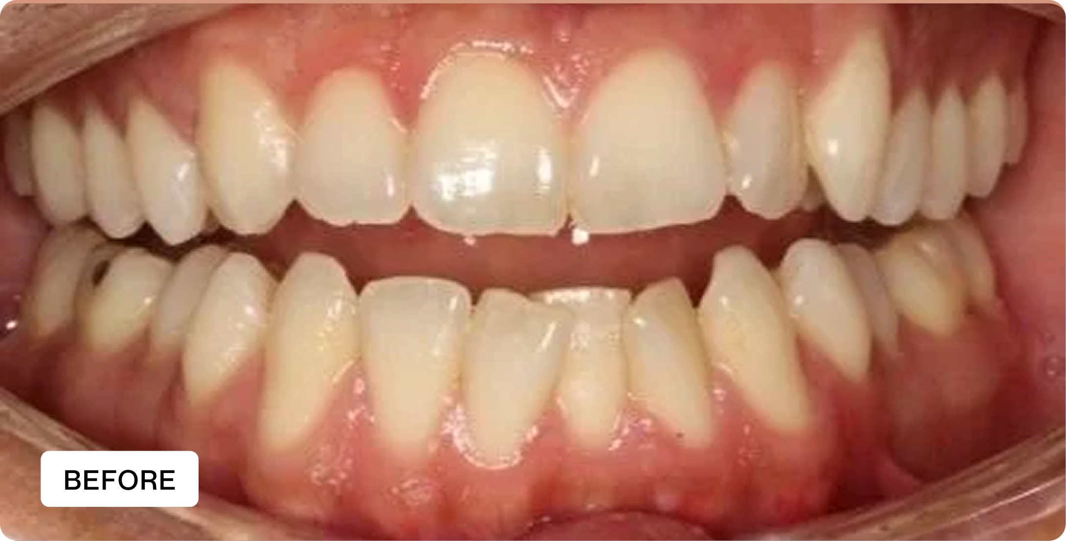
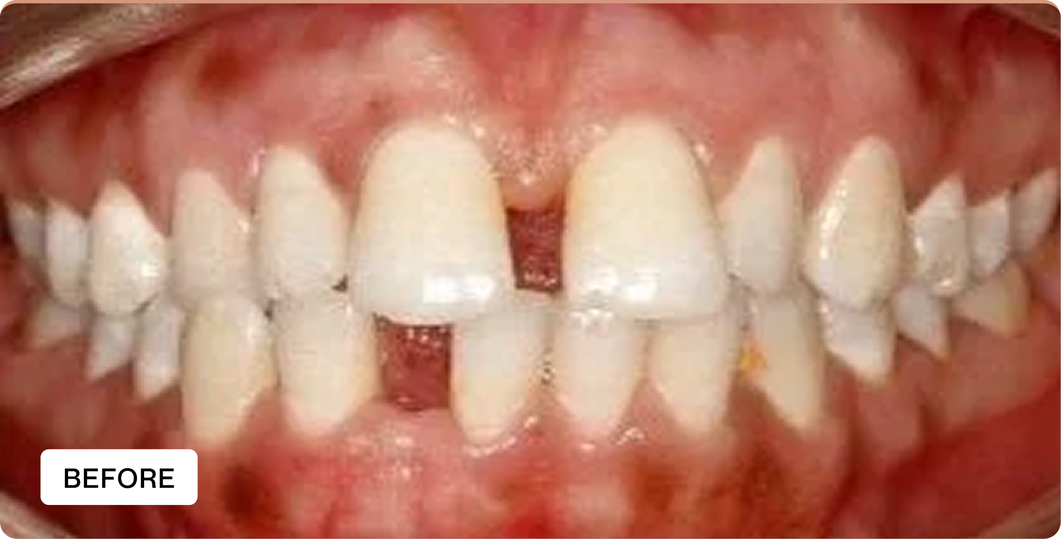
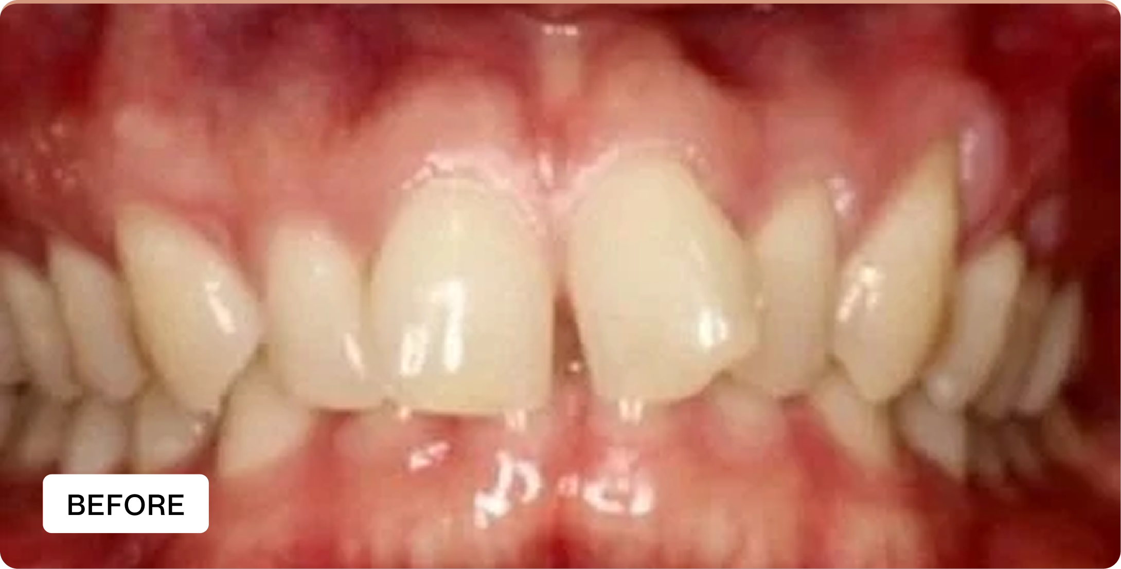
Procedure: 5 Crowns
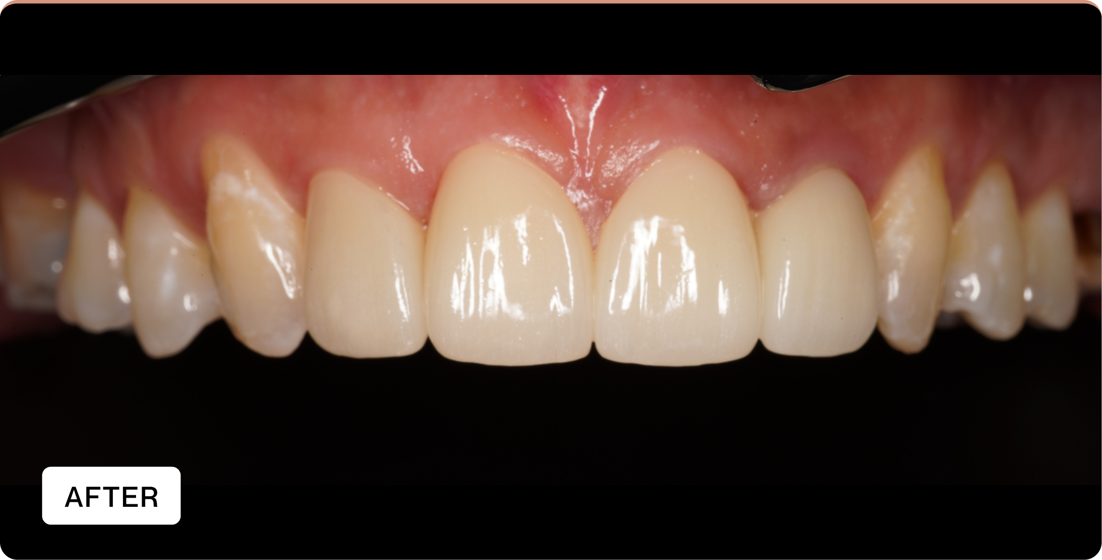
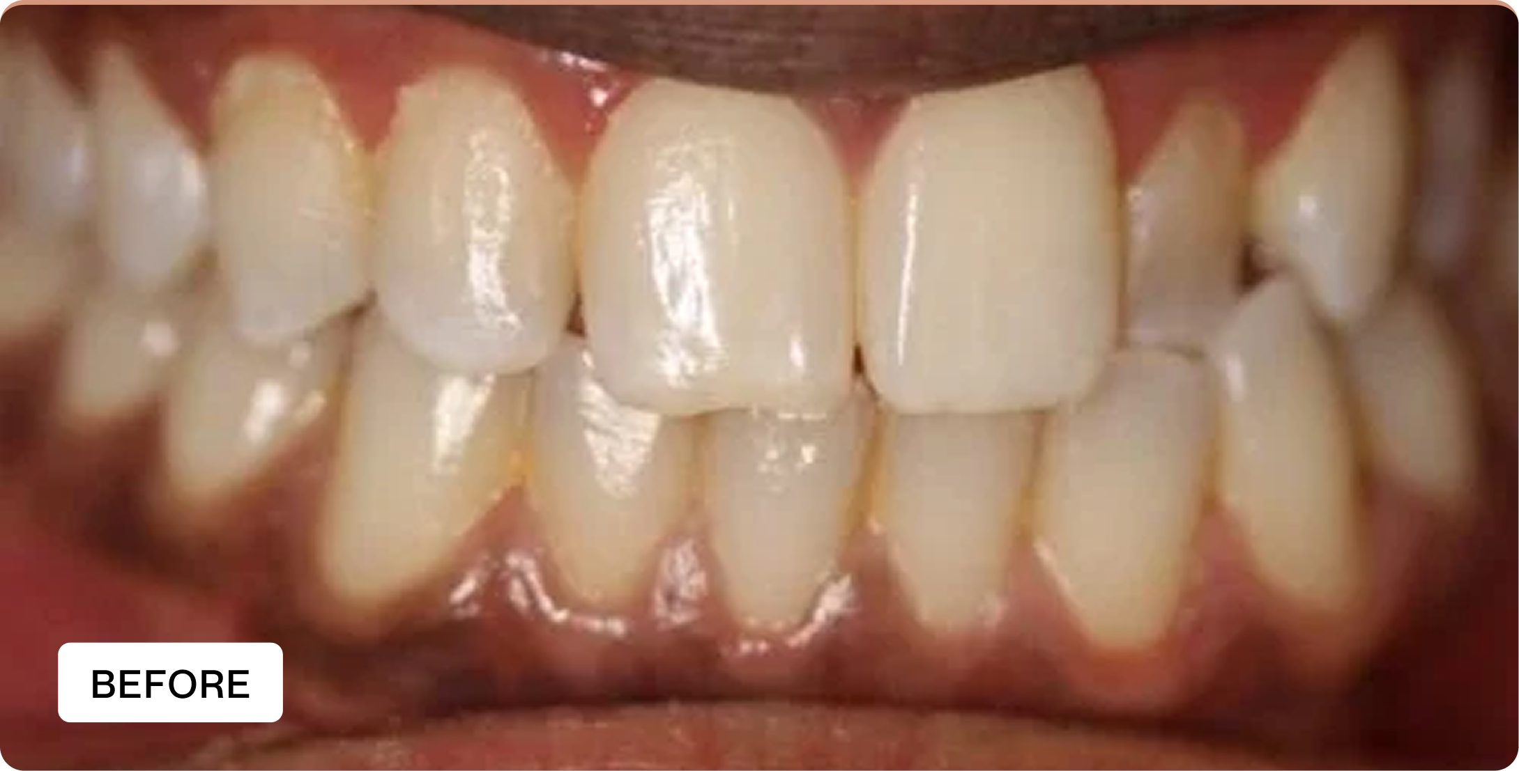
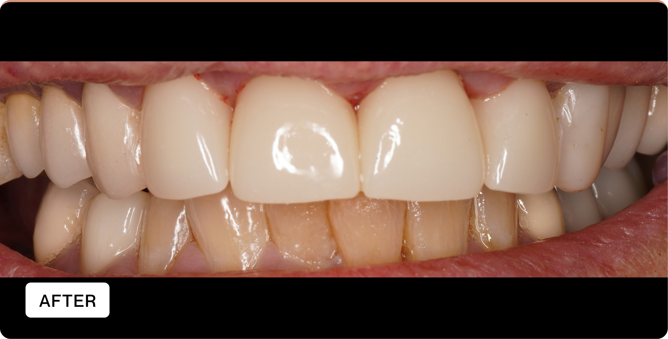
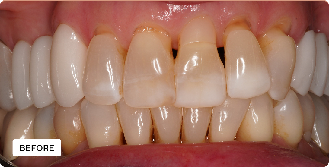
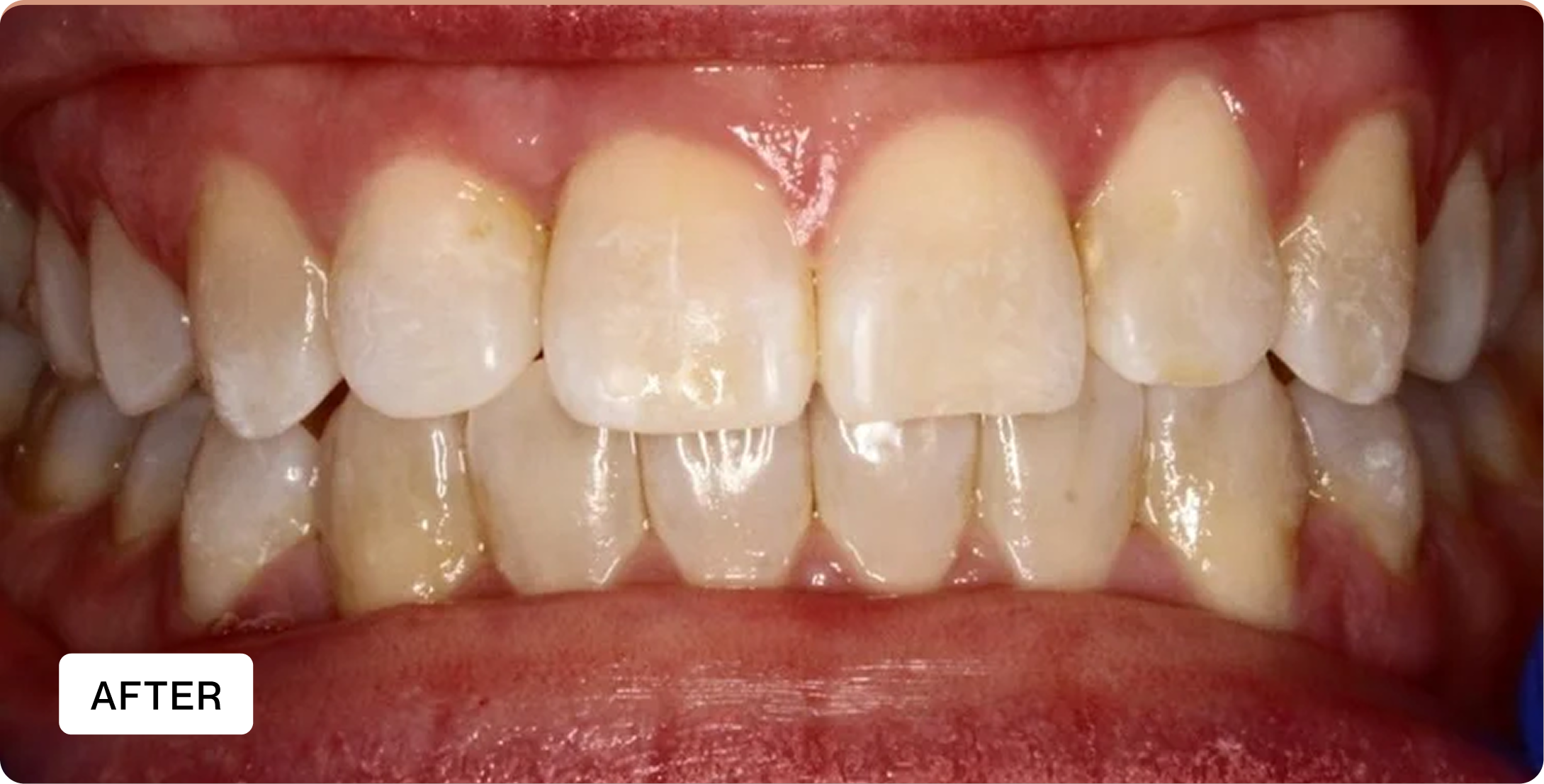
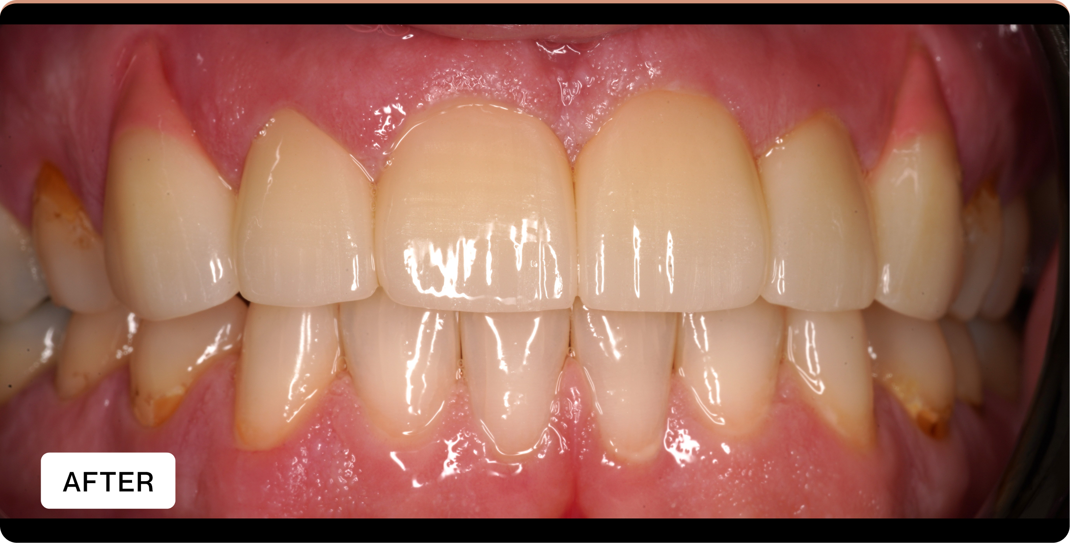
Procedure: 6 Crowns
Procedure: 6 Crowns
Procedure: 4 Crowns
Procedure: 6 Crowns
Procedure: 6 Crowns
Procedure: 4 Crowns
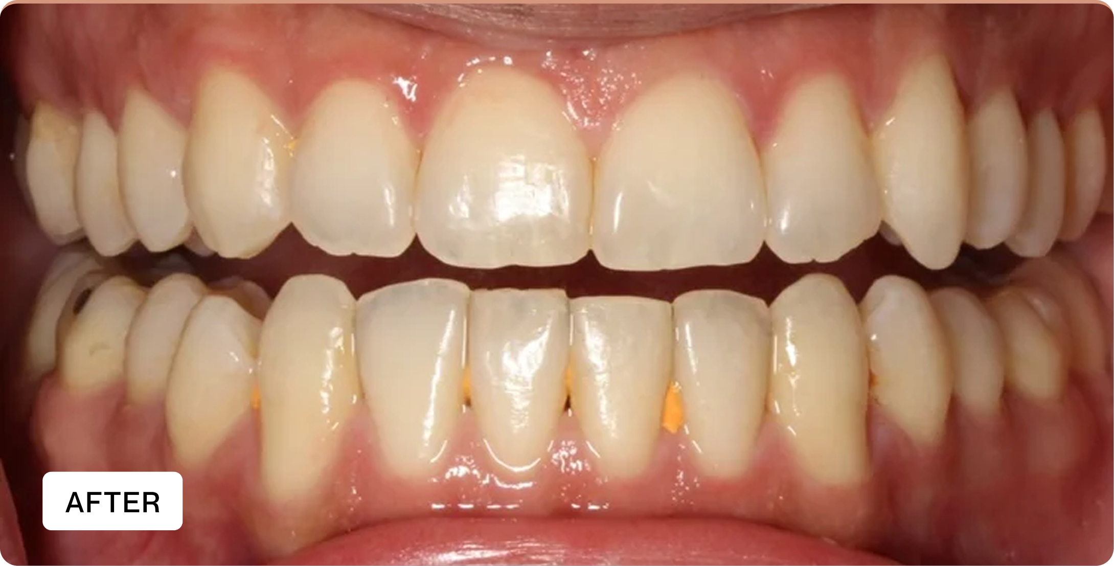
Treatment time : 3 months Invisalign
Treatment time : 4 months Invisalign
Treatment time : 3 months Invisalign
Treatment time : 11 months Invisalign
Treatment time : 3 months Invisalign
Treatment time : 6 months Invisalign
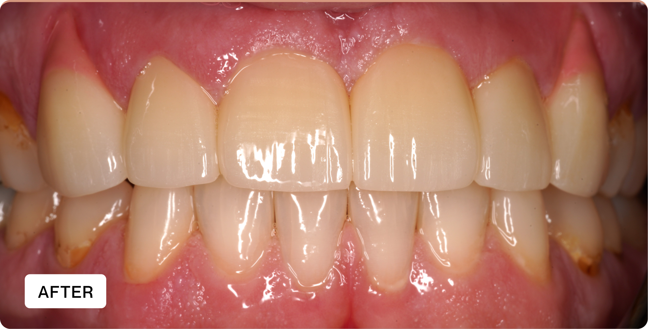
Procedure: 5 Crowns
Procedure: 6 Crowns
Procedure: 6 Crowns
Procedure: 4 Crowns
Procedure: 6 Crowns
Procedure: 6 Crowns
Treatment time : 6 months Invisalign
Treatment time : 4 months Invisalign
Treatment time : 7 months Invisalign
Treatment time : 3 months Invisalign
Treatment time : 11 months Invisalign
Treatment time : 3 months Invisalign
“ I had a very pleasant consultation visit with Dr. Koo. I can tell Dr. Koo cares about patients and his dental team. ”
— Stephanie K.

Looking for a dental clinic near Northwest Seattle, Ballard, Queen Anne, Crown Hill, Greenwood, Licton Springs, Broadview, Northgate, or Shoreline?

Visit us for complete dental care tailored to your needs.

We have same-day appointments available!

Copyright © 2025 Best Dentistry
Powered by Sunrise Reach